سرطان خون یا لوسمی نوعی سرطان است که در آن سلولهای خونی غیرطبیعی در مغز استخوان و سیستم لنفاوی تولید و تکثیر میشوند. این بیماری عمدتاً گلبولهای سفید خون را تحت تأثیر قرار میدهد. در افراد مبتلا به لوسمی، مغز استخوان سلولهای سفید خون غیرطبیعی تولید میکند که عملکرد مناسبی ندارند و به همین دلیل بدن نمیتواند به درستی با بیماریها مبارزه کند.
انواع سرطان خون
سرطان خون شامل انواع مختلفی است که بسته به نوع سلولهای خونی که تحت تأثیر قرار میگیرند، به دستههای مختلف تقسیم میشود. سه دسته اصلی سرطان خون شامل لوسمی (Leukemia)، لنفوم (Lymphoma) و میلوما (Multiple Myeloma) هستند. در این مقاله، به معرفی برخی از مهمترین انواع سرطان خون و علائم آنها میپردازیم.
لوسمی (Leukemia)
لوسمی یک نوع سرطان خون است که به دلیل افزایش تعداد غیرطبیعی گلبولهای سفید خون در بدن ایجاد میشود. این بیماری میتواند در هر سنی رخ دهد، اما در کودکان شایعتر است. علائم شایع لوسمی شامل خستگی شدید، عفونتهای مکرر، کبودی یا خونریزی غیرمعمول، تبهای مکرر، کاهش وزن، از دست دادن اشتها و تورم غدد لنفاوی است. لوسمی میتواند به انواع مختلف تقسیم شود:
لوسمی لنفوسیتی حاد (ALL)
این نوع لوسمی معمولاً در کودکان شایع است و به سرعت پیشرفت میکند.

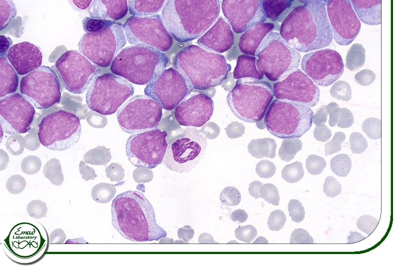
لوسمی میلوئیدی حاد (AML)
در این نوع لوسمی، سلولهای خون به سرعت تکثیر مییابند و نمیتوانند به درستی عملکرد داشته باشند.
لوسمی لنفوسیتی مزمن (CLL)
این نوع لوسمی بیشتر در بزرگسالان دیده میشود و رشد آن کندتر است.
لوسمی میلوئیدی مزمن (CML)
این نوع سرطان خون به طور معمول رشد کندی دارد اما ممکن است به سرعت پیشرفت کند.
لنفوم (Lymphoma)
لنفوم نوعی سرطان است که در سیستم لنفاوی بدن ایجاد میشود. در لنفوم، لنفوسیتها به عنوان سلولهای ایمنی دچار جهش ژنتیکی شده و به طور غیرطبیعی و سریع تقسیم میشوند که باعث تجمع سلولهای سرطانی در غدد لنفاوی و سایر اندامها مانند طحال و کبد میشود.
علائم لنفوم
علائم لنفوم بسته به نوع آن و محل رشد تومور متفاوت است. در صورت مشاهده این علائم، به ویژه اگر بیش از دو هفته ادامه داشته باشند، باید به پزشک مراجعه کرد. شایعترین علائم لنفوم شامل موارد زیر میباشد:
- تورم غدد لنفاوی به ویژه در گردن، زیر بغل یا کشاله ران
- تبهای راجعه
- تعریق شبانه
- کاهش وزن بدون دلیل
- خستگی شدید
- درد یا فشار در ناحیه شکم، سینه یا استخوانها
انواع لنفوم
لنفوم به دو نوع اصلی لنفوم هوچکین و لنفوم غیر هوچکین تقسیم میشود.
لنفوم هوچکین (Hodgkin lymphoma)
لنفوم هوچکین نوعی سرطان است که در سیستم لنفاوی بدن ایجاد میشود. در این بیماری لنفوسیت به طور غیرطبیعی رشد کرده و در سراسر بدن پخش میشوند. این رشد غیرطبیعی باعث اختلال در عملکرد سیستم ایمنی و مبارزه با عفونتها میشود. لنفوم هوچکین میتواند به دلیل جهشهای DNA در سلولهای لنفوسیت و همچنین ویروس اپستین بار (Epstein-Barr) عامل بیماری مونونوکلئوز (تب غدهای) ایجاد شود. این بیماری ممکن است در هر سنی رخ دهد، اما بیشتر در دو گروه سنی، افراد جوان بین ۱۵ تا ۴۰ سال و افراد مسن بالای ۵۵ سال شایع است.
علائم سرطان لنفوم هوچکین
متداولترین علامت لنفوم هوچکین، تورم غدد لنفاوی است که باعث ایجاد تودههای غیر دردناک در زیر پوست میشود. سایر علائم میتواند شامل موارد ذیل باشد:
- توده کنار گردن، زیر بغل، و اطراف کشاله ران
- تعریق شبانه
- خارش پوست
- تبهای مکرر
- خستگی و ضعف عمومی
- لاغری ناخواسته بدون دلیل واضح
- سرفه مداوم، تنگی نفس، و درد در قفسه سینه در صورت درگیر شدن ریهها
- بزرگ شدن طحال (که ممکن است باعث احساس پری در شکم شود)
لنفوم غیرهوچکین (Non-Hodgkin lymphoma)
لنفوم غیر هوچکین نوعی سرطان خونی است که در آن لنفوسیتهای B و T دچار جهشهای ژنتیکی میشوند. این جهشها اغلب در طول زندگی فرد به طور اکتسابی و به دلیل تغییرات در DNA گلبولهای سفید خون رخ میدهند و معمولاً ارثی نیستند. تاکنون بیش از ۷۰ نوع مختلف از لنفوم غیر هوچکین شناسایی شده است، که بسیاری از آنها از نوع تهاجمی هستند. تخمین زده شده که ۲ درصد از مردم در طول زندگی خود به نوعی از لنفوم غیر هوچکین مبتلا میشوند. این نوع سرطان معمولاً افراد بالای ۶۰ سال را تحت تأثیر قرار میدهد و در مردان کمی شایعتر از زنان است.
علائم لنفوم غیر هوچکین
لنفوم غیر هوچکین به دلیل انواع مختلف خود، علائم متنوعی نیز دارد. به طور کلی، این علائم شامل موارد زیر هستند:
- تورم غدد لنفاوی در گردن، زیر بغل یا کشاله ران
- درد و تورم شکم
- درد قفسه سینه
- سرفههای مزمن
- تنگی نفس
- احساس خستگی شدید و طولانی مدت
- تبهای طولانی مدت و بدون علت خاص بیش از ۳۹.۵ درجه سانتیگراد
- تعریق شدید شبانه
- کاهش وزن غیرمنتظره و بدون دلیل قابل توجه

میلوما (Multiple Myeloma)
میلوما نوع نادری از سرطان خون است که در سلولهای پلاسما در مغز استخوان ایجاد میگردد. در میلوما سلولهای پلاسما به طور غیرطبیعی تکثیر میشوند و باعث اختلال در عملکرد سلولهای سالم خون و آسیب به استخوانها و سایر ارگانها میشوند.
علائم مولتیپل میلوما
برخی از علائم و نشانههای میلوما شامل موارد زیر است:
- درد قفسه سینه یا ستون فقرات (که معمولاً اولین علامت است)
- کاهش وزن
- یبوست
- حالت تهوع
- درد استخوانها
- عفونتهای مکرر به دلیل ضعف سیستم ایمنی
- کاهش اشتها
- گیجی و سردرگمی
- خستگی و ضعف عمومی
- بیحسی در پاها
- تشنگی بیش از حد (پولی دیپسی(
- کمردرد
- هیپرکلسمی (افزایش کلسیم در خون)
- کمخونی
- آسیب به کلیهها
- مشکلات معده
- شکستگی استخوان
- کبودی مکرر
- آسیب عصبی
- بیاختیاری روده یا مثانه
انواع دیگر سرطان خون
علاوه بر سه نوع اصلی، انواع دیگری از سرطان خون شامل سرطان سلول مویی (Hairy Cell Leukemia و سندروم میلودیسپلاستیک (Myelodysplastic Syndromes) نیز می باشند.
سرطان سلول مویی (Hairy Cell Leukemia)
لوسمی سلول مویی یک نوع نادر و آهسته رشد سرطان خون است که در آن مغز استخوان سلولهای B غیرطبیعی تولید میکند. این سلولها باعث کاهش گلبولهای سفید، قرمز و پلاکتهای خون میشوند. این بیماری بیشتر در مردان و افراد مسن شایع است و معمولاً بهعنوان یک بیماری مزمن در نظر گرفته میشود که ممکن است هرگز بهطور کامل درمان نشود. علائم لوسمی سلول مویی شامل احساس پری شکم، خستگی، کبودی آسان، عفونتهای مکرر، کاهش وزن، درد زیر دندهها، تب، و تودههای بدون درد در گردن یا کشاله ران است. علت دقیق آن هنوز مشخص نیست، اما قرار گرفتن در معرض تشعشعات و مواد شیمیایی میتواند خطر ابتلا را افزایش دهد.
سندرم میلودیسپلاستیک (MDS)
سندرم میلودیسپلاستیک نوعی اختلال خونی است که در آن مغز استخوان سلولهای خونی غیرطبیعی تولید میکند که قادر به انجام وظایف خود نیستند. این وضعیت میتواند منجر به کمخونی، افزایش خونریزی یا کبودی، و کاهش توانایی بدن در مقابله با عفونتها شود. سندرم میلودیسپلاستیک معمولاً در افراد مسن شایعتر است و علائم آن شامل خستگی، ضعف، رنگپریدگی پوست، تنگی نفس و تمایل به خونریزی یا کبودی است. در برخی از بیماران، سندرم میلودیسپلاستیک ممکن است به لوسمی میلوئید حاد تبدیل شود.
آیا سرطان خون درمان دارد؟
طیف وسیعی از درمان های مختلف برای سرطان خون وجود دارد. درمانی که پزشکان شما توصیه می کنند به نوع سرطان خون، وضعیت سلامتی و نیازهای شما بستگی دارد.
شیمی درمانی
شیمی درمانی به معنای استفاده از داروهای کشنده سلول برای از بین بردن سلول های سرطانی می باشد که به صورت قرص و یا تزریقی، و به عنوان یک دوره درمانی یا بعضا به عنوان یک درمان طولانی مدت انجام می شود. داروهای شیمی درمانی بلافاصه بعد از تزریق وریدی، در جریان خون حرکت کرده و سلول های سرطانی را از بین می برند که به این نوع، شیمی درمانی وریدی (IV) می گویند. تعداد دوره های درمان و خصوصیات آنها به نوع سرطان خون و داروهای مورد استفاده بستگی دارد.
پیوند سلول های بنیادی
پیوند سلول های بنیادی به معنای جایگزین شدن سلول های بنیادی در بدن با سلول های بنیادی جدید و سالم است. پیوند سلول های بنیادی می تواند برای برخی سرطان های خون درمان کننده باشد، چون سلول های بنیادی غیرطبیعی که سلول های خونی سرطانی را تولید می کنند از بین می برد و سلول های بنیادی جدید و سالم جایگزین می کند که قادر به تولید مجدد سلول های خونی سالم هستند.
ایمونوتراپی
ایمونوتراپی روشی برای درمان سرطان است که از سیستم ایمنی خود بیمار برای حمله به سرطان استفاده می شود. بعضی از داروهای ایمونوتراپی با تحریک سیستم ایمنی بدن برای یافتن و کشتن سلول های سرطانی عمل می کنند. این دارو به سلول سرطانی متصل شده و یافتن سلول سرطانی را برای سیستم ایمنی آسانتر می کند. سپس سیستم ایمنی بدن به سلول سرطانی حمله می کند.
رادیوتراپی
رادیوتراپی از پرتوهای پر انرژی مانند اشعه ایکس برای از بین بردن سلول های سرطانی استفاده می کند. بخشی از بدن که سلول های سرطانی در آن قرار دارند را مورد هدف قرار می دهند. در طول درمان، روی یک سطح صاف دراز میکشید و دستگاه رادیوتراپی بالای سرتان قرار میگیرد و البته شما چیزی احساس نخواهید کرد. پرتوهای پرانرژی به سمت قسمتی از بدن شما که تحت درمان است هدف گیری شده و به سلول های سرطانی در آن ناحیه آسیب می رساند.
عمل جراحی
جراحی به ندرت برای درمان سرطان خون استفاده می شود، ممکن است تعداد کمی از افراد مبتلا به لنفوم نیاز به برداشتن طحال داشته باشند.
آزمایشات بالینی تشخیص دهنده انواع سرطان خون
آزمایشات بالینی برای تشخیص انواع سرطان خون شامل آزمایشهای خون، بیوپسی مغز استخوان، آزمایشهای ژنتیکی و مولکولی، و تصویربرداری هستند که به شناسایی تغییرات غیرطبیعی در سلولهای خونی و تعیین نوع و مرحله بیماری کمک میکنند.
آزمایشهای خونی برای تشخیص سرطان خون
آزمایشهای خونی نقش مهمی در تشخیص انواع سرطانهای خون دارند. برای تشخیص میلوما، لوسمی و لنفوم غیرهوچکین، پزشک از آزمایشهایی مانند) CBC شمارش کامل سلولهای خونی) و اسمیر خون محیطی برای شناسایی سلولهای غیرطبیعی استفاده میکند. همچنین در برخی از این شرایط، ممکن است آزمایشهای تکمیلی مانند آزمایشهای بیوشیمی خون برای ارزیابی عملکرد کبد و کلیهها، مانند BUN و Cr (برای بررسی عملکرد کلیهها) و آزمایشهای تخصصی خون برای اندازهگیری سطح LDH (لاکتات دی هیدروژناز) که به شناسایی تغییرات غیرطبیعی در سلولها و عملکرد اندامها کمک میکند، نیز انجام شود. همچنین، آزمایش ادرار برای شناسایی پروتئینهای غیرطبیعی تولید شده در بدن استفاده میشود.
علائم سرطان خون
علائم سرطان خون مشابه علائم آنفلوانزا هستند و شامل تعریق شبانه شدید، درد استخوان، کاهش وزن ناخواسته، خونریزی یا کبودی غیرعادی و عفونتهای مکرر میشوند. در برخی موارد، آزمایش CBC ممکن است تغییرات غیرطبیعی در تعداد سلولهای خونی نشان دهد. علائم پوستی مانند پتشی (لکههای کوچک قرمز یا بنفش که با فشار تغییر رنگ نمیدهند)، تب، خستگی یا کاهش وزن غیرمنتظره نیز میتوانند نشانهای از سرطان خون باشند. در صورت مشاهده این علائم، باید سریعاً به پزشک مراجعه کنید. برخی از شایعترین علائم سرطان خون عبارتند از:
- کاهش وزن غیر قابل توجیه
- کبودی یا خونریزی غیر قابل توجیه
- توده یا تورم
- تنگی نفس
- تعریق شبانه
- عفونت هایی که مداوم، مکرر یا شدید هستند
- تب (۳۸ درجه سانتیگراد یا بالاتر) که بدون دلیل است
- بثورات یا خارش پوست غیر قابل توجیه
- درد استخوان، مفاصل یا شکم (ناحیه معده)
- خستگی که با استراحت یا خواب بهبود نمی یابد
- رنگ پریدگی
سرطان خون و رنگ ناخن
شیمی درمانی در درمان سرطان ها از جمله سرطان خون (لوکمی و لنفوما)، می تواند بر رنگ و بافت ناخن های دست و پا تأثیر بگذارد. ناخن ها ممکن است تیره شوند، ترک بخورند یا شکننده شوند. برجستگی های سفید یا نوارهای تغییر رنگ ممکن است در امتداد ناخن ظاهر شود. بافت زیر ناخن ممکن است تیره شود. درصد کمی از بیماران تمام یا بخشی از ناخن های دست و پای خود را از دست می دهند.
سرطان خون در کودکان
سرطان خون شایعترین سرطان در کودکان است و بیشتر شامل لوسمی لنفوسیتی حاد (ALL) و لوسمی حاد میلوئیدی (AML) میشود. علائم آن معمولاً به دلیل مشکلات مغز استخوان است که باعث کمبود گلبولهای قرمز، سفید و پلاکتها میشود. کمبود گلبولهای قرمز میتواند باعث خستگی، ضعف، سرگیجه، تنگی نفس و کمرنگ شدن پوست شود. همچنین، کمبود گلبولهای سفید خون میتواند منجر به عفونتهای مکرر و تب گردد.
سرطانهای بدخیم و علائم پیشرفته آنها
سرطانهای بدخیم به طور کلی به سرطانهای پیشرفته و با شانس بهبودی کم اطلاق میشوند. این نوع سرطانها معمولاً به قسمتهای مختلف بدن منتشر شده و میتوانند علائم گوناگونی ایجاد کنند که بسته به نوع سرطان و محل انتشار آن متفاوت است. علائم رایج در مراحل پیشرفته سرطانها شامل خستگی بیش از حد، کاهش اشتها و کاهش وزن ناخواسته و بدون دلیل مشخص است. این علائم اغلب نشاندهنده پیشرفت بیماری و گسترش آن به سایر بخشهای بدن است و میتواند به انواع مختلف سرطانها، از جمله سرطان خون، مربوط باشد.
سرطان خون بدخیم
لوسمی ها، لنفوم ها و میلوماها از شایع ترین سرطان های خون بدخیم هستند اما بسیاری دیگر هم وجود دارد که شامل سرطان های مغز استخوان، خود خون و سیستم لنفاوی (شامل غدد لنفاوی، عروق لنفاوی، بافت لنفاوی دستگاه گوارش، لوزه ها، غده تیموس و طحال) می شود.
علائم سرطان خون بدخیم
سرطان خون بدخیم معمولاً با علائم هشداردهندهای همراه است که ممکن است در ابتدا ساده و مبهم به نظر برسند. این علائم ناشی از تأثیر سرطان بر تولید و عملکرد طبیعی سلولهای خونی در بدن است. توجه به این علائم میتواند در تشخیص زودهنگام بیماری و بهبود نتایج درمان مؤثر باشد. مهمترین علائم سرطان خون بدخیم عبارتاند از:
- خستگی و ضعف مفرط
- تب و لرز
- کاهش وزن ناخواسته
- کبودی یا خونریزی آسان
- عفونتهای مکرر
- تورم غدد لنفاوی
- احساس ضعف یا سرگیجه
- تنگی نفس
- درد استخوان یا مفصل
- عرق ریختن بیشازحد، بهویژه در شب
- از دست دادن اشتها
سرطان خون خوش خیم
بیشتر اختلالات خونی خوش خیم بر تولید و عملکرد سلول های خونی تأثیر می گذارد. انواع بسیاری از اختلالات خونی وجود دارد که سرطانی نبوده و شامل کم خونی، افزایش و کاهش گلبول های خون (گلبول های سفید و پلاکت ها)، اختلالات لخته شدن خون (ترومبوز ورید عمقی و آمبولی ریوی)، اختلالات خونریزی و غیره هستند، اما محدود به آن نمی شوند. اختلالات خونی خوش خیم ممکن است با درمان برطرف شوند یا علائمی ایجاد نکنند.

علائم سرطان خون خوش خیم
در بسیاری از موارد، سرطان خون خوشخیم هیچ علامت بارزی ندارد، اما این علائم ممکن است در ابتدا بهطور مبهم و خفیف خود را نشان دهند و در برخی موارد تنها از طریق آزمایشات خون و مشاوره پزشکی قابل تشخیص باشند. در برخی افراد میتواند علائم زیر را ایجاد کند:
- سردرد
- عرق شبانه
- نفخ یا احساس سنگینی در شکم
- خستگی و ضعف عمومی
- سختی در تنفس
- درد در ناحیه فوقانی شکم
- تب و لرز
- ایجاد لکههای قرمز روی پوست
- خونریزی یا کبودی بیدلیل در قسمتهای مختلف بدن
سرطان خون و مرگ
حدود ۷۰ درصد از بیماران مبتلا به سرطان خون در پنج سال آینده ممکن است زنده بمانند. با این حال، در مراحل پیشرفته بیماری، علائم شدیدتری همچون عفونتهای مکرر و مشکلات تنفسی ممکن است رخ دهد که خطر مرگ را افزایش میدهد. در مراحل پایانی سرطان خون، بیمار با علائم متعددی روبهرو میشود که نشاندهنده نزدیک شدن به مرگ است. این علائم شامل هذیان، احساس خستگی شدید، تنگی نفس، درد، سرفه، یبوست، مشکل در بلع و تغییرات فیزیکی مانند کاهش وزن و ضعف عمومی است. همچنین، ممکن است بیمار دچار شوکهای ناگهانی، تب، خونریزی و عدم پاسخگویی به تحریکات محیطی شود. در این مرحله، بیمار اغلب تمایلی به خوردن و نوشیدن ندارد.
بدترین نوع سرطان خون
پیشرفت های تحقیقاتی در چند دهه اخیر نشان می دهد که میزان بقای پنج ساله برای لوسمی میلوئید مزمن (CML)، لوسمی لنفوسیتی مزمن (CLL) و لنفوم فولیکولی بیش از ۸۵٪ است. اما در لوسمی میلوئید حاد (AML)،میلوما و لنفوم سلول مانتل میزان بقای پنج ساله کمتر از ۵۰ درصد است.
کدام نوع سرطان خون کشنده است
سرطان خون به دلیل پیشرفت سریع و مقاومت به درمانها میتواند بسیار تهدیدآمیز باشد. در اینجا به ویژگیهای انواع سرطان خون کشنده پرداختهایم:
لوسمی حاد میلوئیدی (AML)
لوسمی حاد میلوئیدی معمولاً به سرعت در بدن گسترش مییابد و میتواند وضعیت بیمار را در مدت زمانی کوتاه به شدت وخیم کند. این سرطان دارای نرخ بقای پنج ساله حدود ۵/۲۹% است که نشاندهنده دشواریهای درمانی آن و پایین بودن شانس بقا است. این بیماری بیشتر در افراد بالای ۶۰ سال مشاهده میشود، ولی میتواند افراد جوانتر را نیز تحت تأثیر قرار دهد. علائم AML شامل خستگی شدید، ضعف، عفونتهای مکرر، کبودی و خونریزی، درد استخوانها و مفاصل، و کاهش وزن است که همه این علائم به دلیل کاهش تعداد گلبولهای قرمز، سفید و پلاکتها ایجاد میشود.
لوسمی حاد لنفوبلاستیک (ALL)
لوسمی حاد لنفوبلاستیک یک نوع سرطان خون است که به سرعت پیشرفت میکند و برای بزرگسالان میتواند بسیار خطرناک باشد. این نوع لوسمی معمولاً بر گلبولهای سفید تأثیر میگذارد و علائم آن شامل درد استخوانها، تب، خونریزی و ضعف شدید است. درمان فوری برای این بیماری حیاتی است و در صورتی که بهموقع درمان نشود، ممکن است به سرعت به یک تهدید جدی برای زندگی تبدیل شود.
لنفومای سلول B بزرگ پخششونده DLBCL))
DLBCLنوعی لنفومای غیرهوچکین است که در دسته سرطانهای خون قرار میگیرد. این نوع سرطان به سرعت پیشرفت میکند و در صورتی که درمان فوری انجام نشود، میتواند تهدیدی جدی برای زندگی بیمار باشد. علائم رایج شامل خستگی، تب، کاهش وزن، تعریق شبانه و تورم غدد لنفاوی است.
میلوما (Multiple Myeloma)
میلوما نوعی سرطان است که از سلولهای پلاسما در مغز استخوان آغاز میشود. این بیماری میتواند به طور ویژه در استخوانها و کلیهها آسیبهای جدی ایجاد کند. علائم میلوما شامل درد استخوانها، کمخونی، نارسایی کلیه و ضعف شدید است. در برخی موارد، میلوما به مشکلات جدی در سیستم ایمنی منجر شده و وضعیت بیمار را پیچیدهتر میکند.
چرا لوسمی حاد میلوئیدی (AML) کشنده است؟
لوسمی حاد میلوئیدی به دلیل پیشرفت و گسترش سریع در بدن یکی از کشندهترین نوع سرطانها است به هین دلیل تشخیص زودهنگام و درمان فوری میتواند شانس بقا را افزایش دهد. این سرطان به سرعت سلامت بیمار را تحت تأثیر قرار میدهد و میتواند علائم شدید و خطرناکی ایجاد کند. حتی پس از درمان، یکی از مشکلات بزرگ در درمان AML، احتمال بازگشت سریع آن است که به طور قابل توجهی روند درمان را پیچیده میکند.
علائم متاستاز سرطان
اگر سرطان به اعضای مختلف بدن منتشر شود (متاستاز)، علائم خاصی بروز میکند که داشتن این علائم لزوماً به معنای پیشرفته بودن بیماری نیست. متاستاز به استخوان میتواند باعث درد استخوانی، شکستگیهای استخوانی و ضعف اندامها به ویژه در صورت درگیری مهرهها و نخاع شود. متاستاز به کبد ممکن است با علائمی چون زردی پوست و چشم، خارش، درد یا ناراحتی شکمی، تورم شکم یا دست و پا و همچنین تب همراه باشد. متاستاز به ریه معمولاً با تنگی نفس و سرفه همراه است. در هریک از موارد مشکوک، پزشک متخصص با استفاده از آزمایشها و تصویربرداریهای دقیق، وضعیت بیماری را ارزیابی خواهد کرد.







بدون دیدگاه